General Dentistry
Enhance Your Smile with Composite Bonding
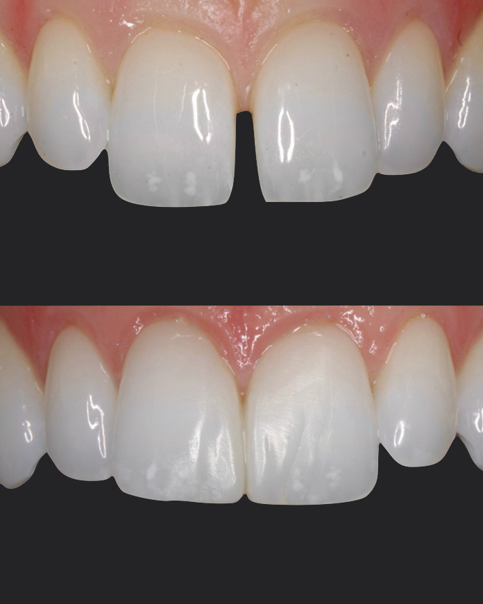
Composite Bonding
If your front teeth are cracked, chipped, stained, or discolored, composite bonding is a cosmetic procedure that can improve your smile and address these flaws. It is a highly recommended option to enhance your confidence in your smile. With a lifespan of approximately ten years before replacement, bonding is a preferable choice compared to other cosmetic alternatives you may have previously considered.
Speak with a member of our team today
call: (202) 743-5303

What is the importance of Composite Bonding?
Composite bonding is an excellent option for individuals seeking to enhance the appearance of their teeth without undergoing invasive treatments. This procedure offers durable results and effectively conceals and repairs imperfections and flaws at the forefront of your smile. Bonding is a successful solution for addressing and restoring various issues, including:
- Spaces between teeth
- Chips and cracks
- Discoloration and staining
- Crooked teeth
Who is eligible for Composite bonding?
Our dental team provides composite bonding, a minimally invasive cosmetic option that typically does not require anesthesia. It is suitable for patients of all ages and effectively addresses various dental issues. Once we examine your specific needs, we will determine if composite bonding is suitable and the appropriate timing. Many patients prefer this procedure due to its long-lasting effects, making it a popular choice over other alternatives.
Composite BONDING PROCEDURE
To start the composite bonding process, we will first match the color of your teeth with the composite material that will be used. Next, we will gently file and roughen the surface of the tooth where the material will be applied. A bonding gel will be carefully applied and rinsed off. The composite material will then be placed over the tooth and smoothed out. To ensure its stability, we will use a bright light to cure the composite. Any necessary adjustments will be made before you leave our office. Composite bonding has the ability to completely transform your smile, seamlessly blending in so that it is virtually undetectable. If you think composite bonding could benefit you, please don't hesitate to contact us today. We are here to answer any questions you may have.


